试题详情
- [材料题] 患者女性,59岁,高血压十年,偶然发现肾占位。
- 多项选择题1.在选择影像检查方法前,应先了解患者哪些临床信息( )
A、腹部症状
B、既往影像检查结果
C、肠鸣音
D、血常规检查
E、是否有恶性肿瘤病史
F、腹部触诊结果
关注下方微信公众号,搜题查看答案

- 多项选择题2.[提示]患者B超发现左肾实质内不均匀软组织回声。进一步检查可选择的影像学方法是( )
A、腹部PET/CT
B、腹部MRI平扫+增强
C、腹部CT平扫+增强
D、腹部CT平扫
E、腹部X线
F、腹部DSA
关注下方微信公众号,搜题查看答案

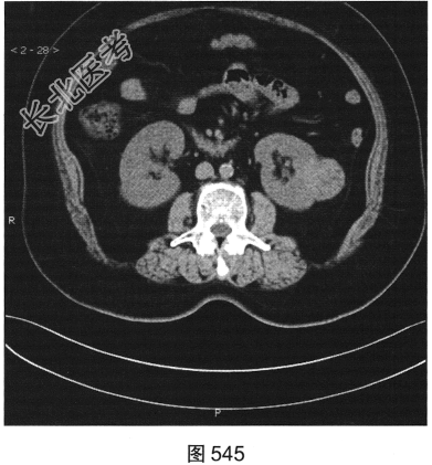
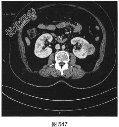
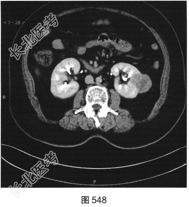
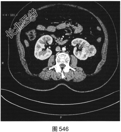
- 多项选择题3.[提示]CT平扫+增强(图545~图549):左肾下极背外侧软组织密度灶, 部分突出于肾实质外,其内可见低密度坏死灶, 增强扫描强化不均匀,平扫、皮质、实质、排泌CT值36HU、92HU、73HU、53HU。可考虑的鉴别诊断为( )



A、肾嗜酸性粒细胞腺瘤
B、出血性囊肿
C、肾血管平滑肌脂肪瘤
D、肾细胞癌
E、肾转移瘤
F、淋巴瘤
关注下方微信公众号,搜题查看答案

- 多项选择题4.综合影像诊断考虑为肾细胞癌的可能,还应关注下列哪些情况( )
A、肾周浸润
B、远处转移
C、腹腔淋巴结
D、肾动脉、静脉解剖
E、与肾窦的关系
F、肿瘤的体积
关注下方微信公众号,搜题查看答案

热门试题
- 经皮肾动脉腔内成形术简称 ( )
- 异位肾不需要与以下哪种病变相鉴别A、游走
- 根据所提供的图像,该病例最可能的诊断为
- 多数前列腺增生最早出现的症状( )。
- 宫体癌的CT表现是 ( )A、
- 肾细胞癌的病理改变,哪项是错误的A、肾细
- 关于肾盂,错误的说法是A、正常肾盂最佳显
- 卵巢癌的主要转移方式是 ( )A
- 肾部分切除术后出现血尿,最可能的诊断是
- 女,55岁, 结合所示图像,最可能的诊断
- 下列哪一项不是卵巢癌腹腔种植的常见部位A
- 肾结核X线检查时,错误的是A、平片检查可
- 女,36岁。尿频、尿急伴发热月余。尿常规
- 男,67岁, 排尿不畅、无力伴血尿1周。
- 男,54岁, 左侧腰痛,伴间歇性血尿2个
- 下述卵巢癌的CT表现中,错误的是A、盆腔
- 根据所提供的图像,该病例的最可能的诊断为
- 男,32岁, 有外伤史,根据所示图像,
- 有助于鉴别子宫肌瘤与子宫内膜癌的CT 征
- 不宜做子宫输卵管造影的是A、探讨子宫出血