试题详情
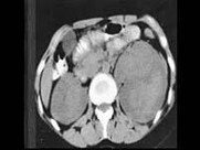
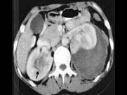
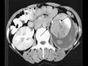
- 多项选择题女,26岁, 临床诊断为绒毛膜癌,行经腹子宫全切术后1月, CT检查如图所示,下列说法正确的是 ( )

A、左肾周可见低密度区,增强后无强化,其内有散在的片状稍高密度影
B、双肾未见异常
C、考虑为左肾外伤性出血
D、考虑为绒毛膜癌肾转移
E、合并有左肾周自发性血肿
关注下方微信公众号,搜题查看答案

热门试题
- 腹内实质性脏器病变宜先采用何种检查
- 以下属于气肿性肾盂肾炎CT表现的是A、肾
- 女,25岁, 持续性无尿1周,有严重外伤
- 男,53岁, 反复右侧腰部隐痛不适2年余
- 下列有关前列腺癌的临床分期,描述正确的是
- 患者有一个可疑的肾团块,结合所示图像,
- 男性生殖系统结核在临床上最常见的是
- 女,63岁, 左腰部隐痛不适1月余,CT
- 阴囊显像中,下列哪种疾病可导致睾丸在灌注
- 男,31岁, 体检时超声发现右肾上腺区病
- 1、在选择影像检查方法前,应先了解哪些临
- 男,54岁, 左侧腰痛伴间断性血尿2月余
- 膀胱病变最基本的检查方法是 (
- 女,63岁, 突发性肉眼血尿伴下腹胀,无
- 通过下列哪项可以将肾上腺腺瘤与嗜铬细胞瘤
- 肾上腺腺瘤的CT表现,错误的有哪些A、边
- 下述子宫输卵管结核最多见的X线表现是A、
- 出血性肾囊肿,错误的是A、T
- 肾上腺营养不良的脑白质病理机制 (
- T