试题详情
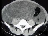
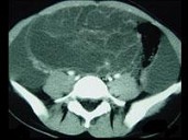
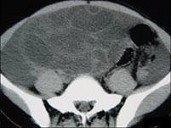
- 单项选择题女,40岁, 下腹部隐痛、腹胀伴阴道不规则出血1年余,B超检查提示盆腔包块, CT检查如图,下列最可能的选项是 ( )

A、卵巢畸胎瘤
B、卵巢囊肿
C、卵巢囊腺瘤
D、卵巢囊腺癌
E、卵巢浆液性囊腺癌
关注下方微信公众号,搜题查看答案

热门试题
- 对子宫体癌的描述,错误的是( )。A
- 男性生殖系统结核在临床上最常见的是
- 检查输卵管通畅度的首选方法是 (
- 关于肾血管平滑肌脂肪瘤,哪些说法是正确的
- 最常发生肾上腺转移瘤的原发性肿瘤是:A、
- 腹部平片(KUB)的适应证包括( )
- 对疑为肾动脉狭窄患者,不能进行诊断的影像
- 1、在选择影像检查方法前,应先了解患者哪
- 男,17岁, 根据所示图像,最可能的诊断
- 肾囊肿常用的放射诊断方法是 (
- 1、对该病变CT影像表现描述正确的是(
- 肾脏平片,肾轮廓能显示的原因是A、密度比
- 关于肾上腺血供,下列哪种说法正确A、肾上
- 突然腹痛伴有血尿3天,来院行CT检查,
- 1、最可能的疾病是2、该患者进一步检查首
- 男,54岁, 左侧腰痛伴间断性血尿2月余
- 子宫肌瘤最好发部位是A、子宫颈B、子宫体
- 男,60岁, 排尿困难,CT前列腺后叶增
- 1、首先诊断2、关于该病的描述,正确的是
- 鉴别高密度肾囊肿的主要方法是A、根据病变