试题详情
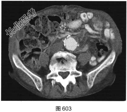
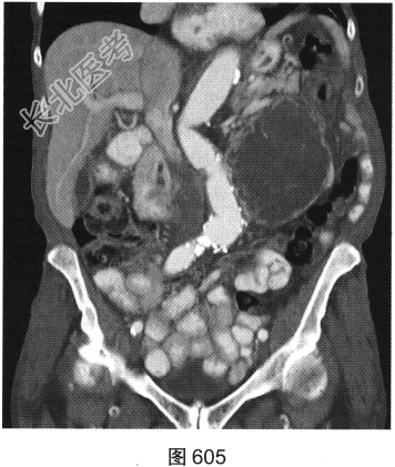
- [材料题] 患者女性,85岁,腹主动脉瘤破裂手术修复后,腹部疼痛。患者行腹部CT检查,见图603~图607。





- 多项选择题1.对该病变CT影像表现描述正确的是( )
A、腰大肌未见明确异常
B、未见主动脉再破裂征象
C、可见主动脉再破裂
D、可见腹膜后均质肿块
E、腰大肌受累
F、可见腹膜后不均质肿块
关注下方微信公众号,搜题查看答案

- 多项选择题2.若CT发现该病灶,建议下一步进行哪项检查最合适( )
A、穿刺活检
B、PET
C、超声
D、血管造影
E、随诊复查
F、MRI
关注下方微信公众号,搜题查看答案

- 多项选择题3.患者进一步行MRI检查,对MRI影像特征描述正确的是( )
A、可见淋巴结转移
B、T2WI以低信号为主
C、增强无强化
D、病灶信号不均匀
E、增强可见分隔状强化
F、T2WI以高信号为主
关注下方微信公众号,搜题查看答案

- 多项选择题4.患者最可能的诊断为( )
A、结核
B、淋巴瘤
C、转移瘤
D、腹膜后肉瘤
E、主动脉瘤
F、血管平滑肌脂肪瘤
关注下方微信公众号,搜题查看答案

热门试题
- 女,57岁, 右腰部胀痛6月余,触及右侧
- 1、应该首先考虑到哪些疾病的可能(
- 以下关于肾动脉狭窄性高血压的介入治疗方法
- 有关子宫体癌的描述,哪些正确A、最早发生
- 1、结合病史及影像学检查结果,可以考虑患
- 在CT横断图像上,有关正常卵巢和输卵管的
- 有关正常成人肾脏,描述正确的是 (
- 1、本例最可能的诊断为2、关于该病CT表
- 下列关于肾上腺嗜铬细胞瘤的说法哪项不正确
- 男性,56岁。尿频、尿急3个月余, 肉眼
- 根据所提供的图像,最可能的诊断是 (
- 男,57岁, 腹部隐痛不适伴低热2月余,
- 关于子宫肌瘤的CT表现,下列哪项说法是错
- 结合所示图像,最可能的诊断是 (
- 正常成人前列腺最大径是 ( )A
- 患者,男,52岁。反复无痛性肉眼血尿伴条
- 子宫颈癌Ⅱ期肿瘤的CT征象中包括A、增大
- 男,53岁, 无痛性血尿2个月余,CT扫
- 正常肾脏SE序列T1WI和T2WI检查时
- 关于肾血管平滑肌脂肪瘤,哪些说法是正确的