试题详情
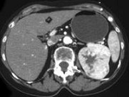
- 单项选择题男,54岁, 左侧腰痛伴间断性血尿2月余,结合CT图像, 最可能的诊断是 ( )

A、左侧肾癌
B、左侧肾血管平滑肌脂肪瘤
C、左侧肾上腺腺癌
D、左侧嗜铬细胞瘤
E、左侧肾盂癌
关注下方微信公众号,搜题查看答案

热门试题
- 患者,男, 30岁。在肾上腺区可见一直径
- 肾癌X线血管造影中,错误的是 (
- 前列腺增生与早期前列腺癌鉴别诊断最有价值
- 下列哪一项不是肾上腺转移癌的常见来源A、
- 下列哪项腹部平片无法显示 ( )
- 女,25岁, 持续性无尿1周,有严重外伤
- 患者,男, 64岁。血尿待查,CT: 双
- 妊娠滋养细胞肿瘤包括A、葡萄胎B、侵蚀性
- 关于异位肾的表现,下列说法错误的是
- 当前列腺癌局限在前列腺内,侵犯两侧外围叶
- 下列病变不是T1及T2加权像均呈高信号的
- 下列哪项是错误的 ( )A、子宫
- 该患者因血尿急诊,根据所提供图像, 最可
- 肾上腺腺瘤的CT表现,错误的有哪些A、边
- 下列哪些疾病肾盂内有充盈缺损A、肾梗死B
- 膀胱癌的CT表现有哪些 ( )
- 下列有关前列腺癌的临床分期,描述正确的是
- 下列哪项不会引起肾周脂肪囊混浊A、晚期肾
- 男,56岁, 有黑色素瘤病史,结合所示图
- 男,71岁,反复膀胱炎多年,B超示双侧肾