试题详情
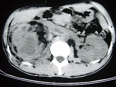
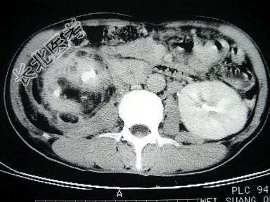
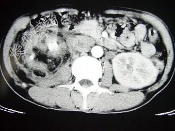
- 单项选择题女,43岁, 右腰部疼痛不适2年余,加重3天, CT及MRI检查如图,应诊断为 ( )

A、右肾癌
B、右肾错构瘤合并出血
C、右肾脂肪瘤
D、右肾脂肪肉瘤
E、右肾海绵状血管瘤
关注下方微信公众号,搜题查看答案

热门试题
- 下列关于肾上腺腺瘤的叙述,哪项不正确A、
- 下列肾肿瘤起源于肾小管的是( )。A
- 1、在选择影像检查方法前,应先了解患者哪
- 下列肾囊肿的CT表现中不正确的是A、圆形
- 关于肾上腺腺瘤的CT特点,不正确的是:
- 肾上腺髓质瘤的CT表现中,不正确的是A、
- 下述关于宫颈癌CT表现,正确的是A、宫颈
- 1、最可能的诊断是2、为明确病变的定位及
- 下列关于卵巢癌的CT表现有哪些A、盆腔内
- 磁共振子宫结合带的生理基础是( )A
- 关于肾细胞癌的影像学诊断方法选择,错误的
- 女,6个月, CT扫描如图所示,下列说法
- 对诊断膀胱嗜铬细胞瘤有重要意义的是A、头
- 关于肾盂,错误的说法是A、正常肾盂最佳显
- 肾细胞癌Robson分期Ⅱ期的表现为
- 女,32岁, 左腰部胀痛不适1年余,10
- 女,28岁, 持续性腰痛加重2天,伴尿频
- 有关正常成人肾脏,描述正确的是 (
- 肾上腺双侧性肿块,可见于A、肾上腺转移瘤
- 1、最可能的诊断为 ( )2、为