试题详情
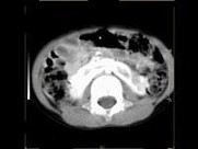
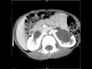
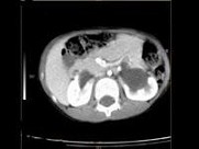
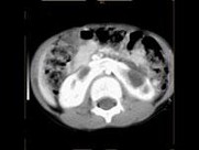
- 多项选择题女,6个月, CT扫描如图所示,下列说法正确的是 ( )

A、双侧肾盂积水
B、双侧肾门朝向前内方
C、双肾下极融合
D、考虑为异位肾
E、考虑为马蹄肾
关注下方微信公众号,搜题查看答案

热门试题
- 血中儿茶酚胺升高的肾上腺肿瘤有( )
- 关于膀胱癌的CT表现,不正确的是A、突入
- 下列哪项不能提示恶性嗜铬细胞瘤的诊断A、
- 关于前列腺癌的说法,不正确的是A、CT表
- 肾上腺腺瘤大多数为 ( )A、T
- 根据所提供的图像,最可能的诊断是 (
- 下列关于双肾大小的比较,描述正确是
- 在立位透视时,节育环正常位置通常在
- 肾囊肿介入治疗每次酒精注入安全量是A、8
- 子宫输卵管造影的适应证有哪些A、不孕症B
- 在泌尿系统检查中,错误的说法是A、MR可
- 下列哪种表现多见于肾上腺良性肿瘤 (
- 女,35岁, 根据所示图像,最可能的诊断
- 有助于鉴别子宫肌瘤与子宫内膜癌的CT 征
- 慢性肾盂肾炎的X线表现,正确的是(
- 患者,女, 58岁。胃癌切除术后2个月,
- 女,47岁, 满月脸、向心性肥胖伴高血压
- 1、在选择影像检查方法前,应先了解患者哪
- 1、最可能的诊断是2、为明确病变的定位及
- 关于男尿道的说法正确的有 (