试题详情
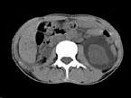
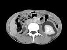
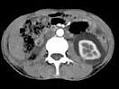
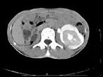
- 多项选择题女,32岁, 左腰部胀痛不适1年余,10年前因右输尿管结石、右肾重度积水行右肾切除术, CT检查如图所示,下列说法正确的是 ( )

A、平扫左肾周可见不规则的环形低密度影
B、增强扫描,肾皮质明显强化而周围的低密度影无强化
C、增强扫描肾实质期,肾实质强化而周围的低密度影无强化
D、增强扫描延迟期,肾实质强化减退而其周围则呈高密度影,对比明显
E、考虑为左侧尿外渗
关注下方微信公众号,搜题查看答案

热门试题
- 尿路造影中,常见的异常征象有A、肾实质显
- 肾脓肿的CT表现为A、圆形或卵圆形境界清
- 下述睾丸肿瘤诊断要点,哪项不对A、多为恶
- 男,55岁, 右腰部不适1年余,CT扫描
- 女,63岁, 左腰部隐痛不适1月余,CT
- 良性前列腺增生通常发生在( )。A、
- 患者60岁,血尿, 结合所示图像,结合所
- 除神经鞘瘤外,腹膜后其他少见良性肿瘤不包
- 下列观点关于“移植肾”的CT扫描,哪项是
- 患者,女性, 36岁,因不孕就诊。盆腔M
- 下列不是子宫肌瘤的声像图表现的是A、子宫
- 1、在选择影像检查方法前,应先了解哪些临
- 患者,女, 36岁。昨晚突发下腹部胀痛,
- 下列哪一项关于肾盂癌的描述是不正确的
- 肾实质内占位性病变主要X线征象为 (
- 男,53岁, 反复右侧腰部隐痛不适2年余
- 关于"卵巢滤泡囊肿",下列描述正确的有A
- 下列关于前列腺肥大的描述,错误的是A、残
- 下列关于卵巢畸胎瘤的描述,错误的是
- 腹膜后腔根据肾脏的位置可分为 (