试题详情
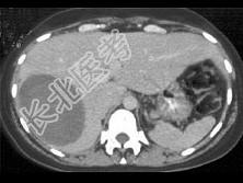
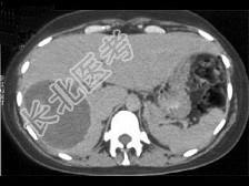
- 单项选择题患者40岁,女性, 肝区偶然发现一个团块,结合图像, 最可能的诊断是 ( )

A、阿米巴肝脓肿
B、肝包虫囊肿
C、肝癌
D、皮样囊肿
E、肝囊肿
关注下方微信公众号,搜题查看答案

热门试题
- 根据我国小肝癌的诊断标准,两个瘤结节的最
- 下述“溃疡性结肠炎”早期征象,错误的是
- 胰腺癌的影像学表现包括A、胰腺局部实质肿
- 慢性阑尾炎最主要的X线表现是 (
- 关于脾脏与周围器官的关系错误的是 (
- 胆道系统MRI检查时不常用的序列是
- 关于胰腺黏液性囊腺瘤,正确的描述是(
- 女,46岁, 排便困难,结合图像, 最可
- 根据所提供的图像,最可能的诊断是 (
- 女,51岁, 上腹部隐痛不适,CT检查如
- 关于食管癌错误的是( )。A、好发于
- 肝癌病灶可发生 ( )A、钙化
- 患者男,50岁, B超发现脾内占位性病变
- 腹部透视诊断肠梗阻的主要依据是 (
- 1、依据上述临床表现,你认为患者可能患哪
- 55岁,女性, 结合图像,最可能的诊断是
- 肝脏的不规则增强是由于 ( )A
- 下列食管狭窄性病变不适合单纯利用球囊成形
- 在婴儿腹立位片上,可见双泡征疾病的是
- 在正常腹平片上见不到的软组织影是A、肝脏