试题详情
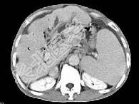
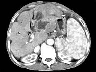
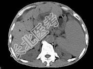
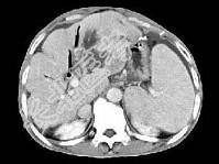
- 单项选择题根据所提供的图像,最可能的诊断是 ( )

A、肝囊肿
B、肝脓肿
C、肝胆管细胞癌伴肝硬化
D、肝细胞癌
E、以上都不是
关注下方微信公众号,搜题查看答案

热门试题
- 患者,男,53岁。肝区胀痛1周,CT检查
- 女性,45岁。急性上腹部持续性疼痛, 程
- 属于腹主动脉分支的有哪些 (
- 下列不可复性食管裂孔疝的征象中,错误的是
- 胆道梗阻最好发的部位是 ( )A
- 女,34岁, 右上腹痛,有发热, 白细胞
- 溃疡性结肠炎X线检查可见到的征象有
- 溃疡型胃癌的X线表现不正确的是A、龛影位
- 下述疾病中,能够引起盲肠缩短、变形、收缩
- 下列为溃疡型胃癌的X线征象,错误的是
- T1加权像呈略低信号,质子加权像和T2加
- 女,58岁, 上腹部疼痛半月,无畏寒、发
- 贲门癌是指源于贲门口中心周围多少厘米以内
- 在婴儿腹立位片上,可见双泡征疾病的是
- 下列关于皮革状胃的X线征象,错误的是
- 下列“原发性肝癌”MRI表现,错误的是
- 关于食管癌错误的是( )。A、好发于
- 男,56岁, 上腹不适3个月,CT检查发
- 男,5岁, 腹痛,黏液便并偶带血10余天
- 下列“胃溃疡”所见,哪项提示溃疡为恶性