试题详情
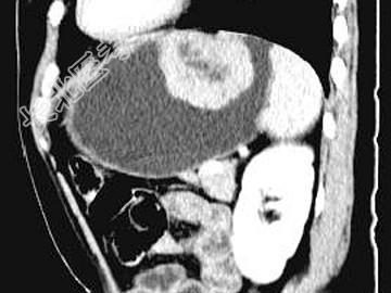
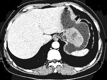
- 单项选择题女,51岁, 上腹部隐痛不适,CT检查如图, 最可能的诊断是 ( )

A、胃癌
B、胃息肉
C、胃腺瘤
D、胃溃疡
E、胃间质瘤
关注下方微信公众号,搜题查看答案

热门试题
- 为提高食管静脉曲张的检出率,应用下列哪种
- 对于胰尾病灶,结合图像, 最可能的诊断是
- 溃疡性结肠炎( )。A、好发于回肠末
- 男,38岁, 下腹疼痛、尿液混浊十余天,
- CT鉴别副脾和肿大淋巴结的主要依据是软组
- 正常肝脏MRI表现中,错误的是A、正常肝
- 肝癌动态增强CT扫描分三期名称顺序均正确
- 腹部透视诊断肠梗阻的主要依据是 (
- 下列关于腹膜后脂肪肉瘤,错误的是 (
- 胃癌介入治疗的适应证不包括A、不能外科切
- 肝脏的不规则增强是由于 ( )A
- 女,45岁, 咽喉不适,异物感。体检:
- 女,53岁, 进行性吞咽困难伴呕吐,吐黏
- 胆总管囊肿MRCP表现是什么 (
- 根据所提供的图像,该病例的最可能的诊断
- 关于胰腺在CT图像上的识别标志,正确的为
- 早期胃癌的叙述正确的是A、可分为二个类型
- 中年患者,女性, 偶然发现肝团块,结合图
- 根据所提供的图像,该患者最可能的诊断为
- “消化道恶性肿瘤”,钡餐检查不能显示的是