试题详情
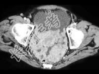
- 单项选择题55岁,女性, 结合图像,最可能的诊断是 ( )

A、卵巢癌扩散
B、结核性腹膜炎
C、胃癌
D、腹膜炎
E、以上都不是
关注下方微信公众号,搜题查看答案

热门试题
- 钡餐检查可见“跳跃”征的是 (
- 我国肝癌病理协作组制定小肝癌的诊断标准中
- 肠系膜上动脉分支有哪些 ( )
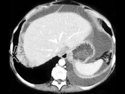
- 女,36岁, 肝区不适数月,CT检查如图
- 女,39岁, 右上腹部隐痛,有慢性胆囊炎
- 胰头癌与壶腹癌的鉴别要点是A、十二指肠区
- 下列CT表现提示急性胰腺炎的描述,错误的
- 关于食管内支架置入术的适应证,下述正确的
- 下列“肝血管瘤”MRI特点,错误的是
- 在胆囊结石中,密度最低的结石为A、胆固醇
- 食管粘膜一般有几条粘膜皱襞 (
- 慢性胰腺炎CT显示胰腺导管的特征性改变为
- 慢性胰腺炎具有诊断特征性的CT表现是A、
- 女,40岁, 腹部不适。CT示胰腺略小,
- 结肠钡灌肠有下列哪些检查方法 (
- 关于Couinaud肝段划分,错误的是A
- 脾梗死早期CT可表现为 ( )A
- 1、结合临床及影像表现应该诊断为(
- 1、根据该临床及影像表现诊断为2、该病的
- 肝淋巴瘤的特点有( )A、门静脉期病