试题详情
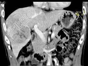
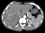
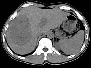
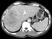
- 单项选择题根据所提供的图像,最可能的诊断是 ( )

A、肝血管瘤
B、FNH
C、肝癌
D、肝腺瘤
E、以上都不是
关注下方微信公众号,搜题查看答案

热门试题
- 患者40岁,女性, 肝区偶然发现一个团块
- 男,55岁, 左下腹胀痛、并可触及包块,
- 下列关于腹膜后脂肪肉瘤的描述,正确的是
- 结肠癌的X线征象描述不正确的是A、腔内不
- 肝内病变的MRI表现,正确的是 (
- MRI成像,肝占位“靶征”指 (
- TAE的禁忌证有A、富血供肝细胞癌B、严
- 下列肝包虫囊肿影像,提示有合并感染的有(
- 在肝转移癌中,多血供型转移的是 (
- 早期胃癌具有的特征是A、肿瘤范围小于1c
- 3岁男孩突发性腹痛,大便有血, 腹部可触
- 对于慢性胆囊炎的CT特征表现是 (
- 下列良性胃溃疡征象有 ( )A
- 男,43岁, 左下腹痛不适1月余,结合图
- 进行性梗阻性黄疸患者行快速增强扫描,胰头
- “结肠扩张”,则可除外 ( )A
- 男,52岁, 右上腹壁出现5cm×6cm
- 根据所提供的图像,最可能的诊断是 (
- 下列不是肝棘球蚴囊肿的特征表现的是A、囊
- 男,51岁, 右上腹隐痛2月余,CT扫描