试题详情
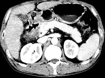
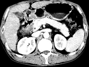
- 单项选择题女,63岁, 右上腹疼痛,呈不规律性钝痛, 伴恶心,时有呕吐, 呕吐物为胃内容物混有胆汁,CT检查如图, 最可能的诊断是 ( )

A、十二指肠克罗恩病
B、十二指肠结核
C、十二指肠癌
D、十二指肠淋巴瘤
E、十二指肠平滑肌瘤
关注下方微信公众号,搜题查看答案

热门试题
- 不属于肝细胞癌CT表现的是A、肝实质内在
- 有关局灶性肝脂肪浸润,以下哪些是正确的
- 下列哪项是慢性胰腺炎最具特征性的征象
- 不符合弥漫性脂肪肝中残留正常肝岛的CT表
- 男,出生后2天。哭闹不止, 腹胀。如图所
- 单纯性小肠梗阻的X线征象表现为 (
- 下述关于肝细胞癌的介入方式,错误的是A、
- 绞窄性肠梗阻的可靠征象是 ( )
- 女,34岁, 右上腹痛,有发热, 白细胞
- 男,32岁, 肥胖,CT检查如图所示,
- 中年患者,女性, 偶然发现肝团块,结合图
- 腹部平片可用于下列哪些疾病的检查 (
- 根据所提供的图像,该病例最可能的诊断为
- 慢性十二指肠球部溃疡最常见的X线征象是A
- 男,15岁, 下腹疼痛不适,结合图像,
- 根据所提供的图像,该病例最可能的诊断为
- 皮革胃是下列哪种类型的胃癌A、溃疡型B、
- 肝脓肿的发病原因包括A、胆道炎症所致B、
- 下列脾脏病变,哪些可以出现钙化 (
- 急性腹痛.呕吐,腹部有肠形及气过水声,作