试题详情
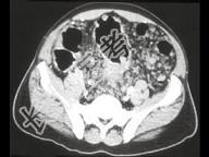
- 单项选择题男,15岁, 下腹疼痛不适,结合图像, 最可能的诊断是 ( )

A、结肠和系膜多发性血管瘤
B、结肠癌腹腔淋巴结转移
C、结肠淋巴瘤
D、假膜性肠炎
E、结肠溃疡性结肠炎
关注下方微信公众号,搜题查看答案

热门试题
- 40岁男性,因上腹隐痛, 大便隐血3周入
- 肝脓肿的发病原因包括A、胆道炎症所致B、
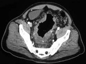
- 根据所提供的图像,该病例的最可能的诊断为
- 下述食管癌X线征象正确的是A、黏膜皱襞破
- 血供丰富的肝转移癌多表现为 (
- 溃疡性结肠炎X线表现包括 (
- 下述胆囊切除术后综合征CT表现,错误的是
- 关于胰腺病变,下列说法无关的是( )
- 应用球囊扩张术治疗贲门失弛症时选用球囊的
- 溃疡病的并发症中最严重、紧急的是A、幽门
- 下列不可复性食管裂孔疝的征象中,错误的是
- 胆囊癌病理上最常见的是 ( )A
- 肝癌门脉癌栓的CT征象可表现为 (
- 消化道管壁由内向外第三层为 (
- 男,36岁, 右下腹痛、低热3月钡餐检查
- 女,66岁, 进行性吞咽困难,胸骨后疼痛
- 男,32岁, 中上腹空腹痛,进食后缓解,
- 1、胆系梗阻位置为A、胆总管下端B、胆总
- CT对胃癌的诊断价值,哪项不正确 (
- 下述食管癌X线征象不正确的是A、黏膜皱襞