试题详情
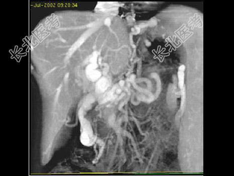
- 单项选择题根据所提供的图像,该病例最可能的诊断为 ( )

A、肝细胞癌
B、梗塞、梗死
C、血行转移
D、门静脉栓塞
E、以上都不是
关注下方微信公众号,搜题查看答案

热门试题
- 特征性肝包虫囊肿壁的钙化是 (
- 关于腹腔壁层肿瘤,下列说法错误的是
- 根据所提供的图像,最可能的诊断是 (
- 属于腹膜间位器官的有哪些 (
- 腹部外伤常受累脏器依次是 ( )
- 关于肝硬化的病理改变引起CT表现的描述,
- 早期食管癌分为 ( )A、硬化
- 1、该患者最可能的诊断是2、结肠癌病理分
- PTCD术的并发症有A、胆道出血B、对比
- 胃溃疡的特殊类型有A、穿透性溃疡B、穿孔
- 下列疾病中不属于胆囊增生性疾病的是
- “口服胆囊造影”,脂餐后胆囊正常收缩率为
- 典型肝脓肿在CT上的表现,除中央低密度脓
- MRCP显示的"双管征"最常发生于A、胰
- 横断面CT扫描,正常成人肝脏上下径为
- 布-加综合征介入治疗的并发症不包括A、心
- BCS介入治疗的并发症有 (
- 胰岛细胞瘤的CT特点为A、增强扫描动脉期
- 关于肝脏淋巴瘤的影像学表现,错误的是A、
- 如图所示,门静脉内气体的原因是 (