试题详情
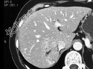
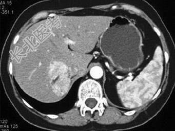
- 单项选择题中年患者,女性, 偶然发现肝团块,结合图像, 最可能的诊断是 ( )

A、肝癌
B、肝血管平滑肌脂肪瘤
C、局灶性结节增生
D、肝腺瘤
E、转移癌
关注下方微信公众号,搜题查看答案

热门试题
- 肝内胆管分支的直径正常应当为 (
- 胆道梗阻最好发的部位是 ( )A
- 关于食管静脉曲张与食管癌,最主要的鉴别点
- 1、根据以上临床及影像表现,以下疾病的可
- 下述哪项不是真菌性肝脓肿的诱发因素
- 男,35岁, 上腹部反复疼痛伴进行性黄疸
- 女,55岁, 右上腹痛,消瘦乏力3月,
- 下列哪些征象是肝癌GD-DTPA增强后的
- 患者肺炎反复发作,结合图像, 最可能的诊
- 肝肿瘤病灶中心见到T1WI像高信号灶最常
- 关于慢性胰腺炎CT表现,错误的是 (
- 40岁男性,因上腹隐痛, 大便隐血3周入
- 下列哪项对诊断肝癌意义较大 (
- 男,72岁, 右上腹痛1月,AFP阴性,
- 男,66岁, 肥胖,有糖尿病史, CT检
- 男,78岁, 上腹痛1月余,返酸, 无嗳
- 关于腹膜肿瘤的CT表现,错误的是 (
- 腹水患者卧位腹部平片不能显示的是 (
- MRI成像,肝占位“靶征”指 (
- 肝癌患者行介入栓塞化疗术最常用的栓塞剂是