试题详情
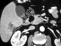
- 单项选择题结合图像,该胰腺团块, 最不可能的诊断为 ( )

A、肉瘤
B、脂肪瘤
C、胰腺囊肿
D、以上都有可能
E、以上都不是
关注下方微信公众号,搜题查看答案

热门试题
- 关于胰腺炎的X线表现,描述正确的是
- 1、该患者下一步的最佳诊疗策略是(
- 胃肠道憩室于钡剂造影时,最不易充盈的是
- 1、患者入院后,初步需要完成的检查包括(
- 食管裂孔疝的间接X线征象有 (
- 关于胰腺的解剖及MRI表现,正确的是A、
- “中晚期胃癌”分型中,不包括哪型 (
- 根据所提供的图像,最可能的诊断是 (
- 属于腹膜间位器官的有哪些 (
- 经动脉导管栓塞治疗上消化道出血最常见的并
- 小肠排空延迟,指口服钡剂超过几小时未全部
- 1、最可能的诊断是2、诊断该病首选的检查
- 1、最有可能的诊断为2、若进一步进行下腹
- 根据所提供的图像,可除外下列哪种诊断
- 根据所提供的图像,最可能的诊断是 (
- 1、根据该临床及影像表现诊断为2、该病的
- 1、该患者的黄疸类型属于( )A、R
- 患者,女性, 32岁。肝区疼痛2周,影像
- 1、依据上述临床表现,患者可能患(
- 溃疡型肠结核的X线表现有 (