试题详情
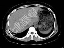
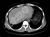
- 单项选择题根据所提供的图像,最可能的诊断是 ( )

A、正常肝血管
B、肝内胆管扩张
C、布-加综合征
D、肝血管瘤
E、以上都不是
关注下方微信公众号,搜题查看答案

热门试题
- 肝转移癌少血供者常见表现为 (
- 食管癌X线造影的表现包括 (
- 以下临床或影像表现符合原发性硬化性胆管炎
- 膈下脓肿的典型X线表现 ( )A
- 男,40岁, 肝区疼痛,消瘦乏力, 腹部
- 诊断脾脓肿的可靠的CT表现为 (
- 关于口服胆囊造影前的准备,正确的是A、检
- 肝腺瘤为少见的肝细胞起源的良性肿瘤,其病
- 1、该患者的可能诊断有哪些( )A、
- 女,40岁, 左侧下腹壁逐渐增大性包块1
- 女,49岁, 进食上腹痛,腹部肠胀气近2
- 下列有关副脾的不正确说法是A、最常见于脾
- 关于“食管裂孔疝”的描述,错误的是
- 关于“十二指肠溃疡”的描述,错误的是
- 关于腹腔壁层肿瘤,下列说法错误的是
- MRCP显示的"双管征"最常发生于A、胰
- 根据所提供的图像,该患者的最可能的诊断为
- 下述“急腹症”拍立位胸片意义,错误的是
- 胃肠道支架置入术的禁忌证有 (
- 男,58岁, 上腹部胀痛不适2月余,MR