试题详情
- [材料题] 患者男性,47岁,因“左上腹隐痛6个月余”就诊。腹部B超发现脾脏占位。
- 多项选择题1.该患者下一步的最佳诊疗策略是( )
A、经皮穿刺活检
B、直接手术切除
C、CT平扫
D、PET-CT检查
E、定期随访
F、CT动态增强
关注下方微信公众号,搜题查看答案

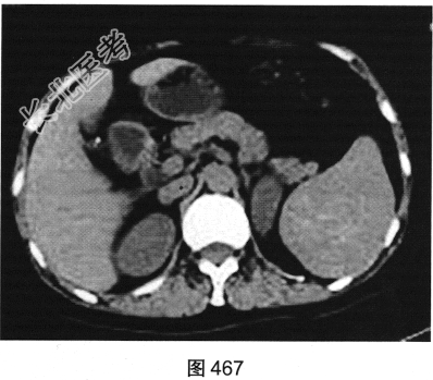
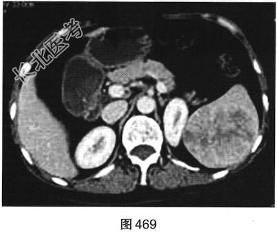
- 多项选择题2.[提示]患者行CT动态增强扫描,如图467~图469所示。对CT图像描述正确的是( )


A、病灶内见条索状钙化灶
B、病灶动脉期无强化
C、CT平扫呈不均匀稍低密度
D、左肾被病灶侵犯
E、病灶门脉期显著强化
F、病灶边界清晰,具有包膜
关注下方微信公众号,搜题查看答案

- 多项选择题3.考虑下列哪些可能性的诊断( )
A、脾脏血管肉瘤
B、脾脏淋巴管瘤
C、脾脏血管瘤
D、脾囊肿
E、脾脏脓肿
F、脾脏淋巴瘤
关注下方微信公众号,搜题查看答案

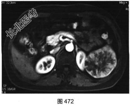
- 多项选择题4.[提示]为进一步明确诊断,患者行MRI检查, 如图470~图473所示。对MRI图像描述正确的是( )



A、T1WI呈不均匀稍低信号
B、左肾被病灶侵犯
C、病灶内见树枝状T1WI低信号、T2WI低信号影
D、门脉期可见造影剂进一步持续充填
E、动脉期轻度强化
F、抑脂T2WI呈不均匀稍高信号
关注下方微信公众号,搜题查看答案

- 多项选择题5.MRI具有很高的软组织分辨率,关于病灶组织成分构成分析正确的是( )
A、囊变
B、出血
C、坏死
D、钙化
E、包膜
F、纤维
关注下方微信公众号,搜题查看答案

- 多项选择题6.考虑患者为下列哪种疾病( )
A、脾囊肿
B、脾脓肿
C、脾血管瘤
D、脾淋巴瘤
E、脾纤维肉瘤
F、脾血管肉瘤
关注下方微信公众号,搜题查看答案

- 多项选择题7.关于该疾病的临床病理特征描述正确的是( )
A、钙化常见
B、大部分患者无症状
C、男性多于女性
D、是脾脏最常见的良性肿瘤
E、少数患者可出现脾破裂
F、纤维瘢痕常见
G、发病年龄为20~50岁
关注下方微信公众号,搜题查看答案

热门试题
- 1、首选检查方法为2、如果腹部CT提示早
- 男,67岁, 上腹不适,体重下降2个月。
- 下列不属于胃溃疡演变的是A、恶变B、线状
- 食管狭窄支架置入术的并发症中,以哪种较多
- 男,55岁, 肝区不适,CT扫描如图,
- 根据所提供的图像,该病例的最可能的诊断为
- 典型肝脓肿在CT上的表现,除中央低密度脓
- 肝局灶性结节增生(FNH)下列说法不正确
- 以下关于胰腺疾病的MRI表现中哪项不对A
- 女,63岁, 右上腹疼痛,呈不规律性钝痛
- 上消化道钡餐检查应检查至哪一部位 (
- 1、根据以上病史,最可能的诊断是(
- 患者,男性,32岁。突发上腹痛1个月,疼
- 经动脉导管化疗药物灌注术治疗胰腺癌,能明
- 患者中年,大便次数增多, 结合图像,最可
- 急性胰腺炎常见的MRI表现是A、胰腺肿大
- 下列诊断小肠Crohn(克罗恩)病较为特
- 最有利于肝探查的呼吸阶段是A、深呼吸后屏
- 下列有关副脾的不正确说法是A、最常见于脾
- 男,41岁, 中上腹腹痛,如图所示, 最