试题详情
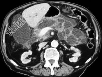
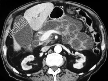
- 单项选择题根据所提供的图像,可除外下列哪种诊断 ( )

A、胰腺导管内乳头状黏液性肿瘤
B、胰腺囊腺瘤
C、胰腺假性囊肿
D、胰腺癌
E、以上都不是
关注下方微信公众号,搜题查看答案

热门试题
- 男,19岁, 腹胀,腹部隆起半年余, C
- 下列关于“食管憩室”的描述错误的是
- 细菌性肝脓肿的主要感染途径不包括 (
- 1、胆系梗阻位置为A、胆总管下端B、胆总
- 男,56岁,右下腹痛、贫血3个月。钡灌肠
- 下列哪项可作为多发肝囊肿与Caroli病
- 胃穿透性溃疡系指溃疡侵及A、黏膜层B、黏
- 梗阻性黄疸可见于( )A、胆总管结石
- 根据所提供的图像,最可能的诊断是 (
- 在正常腹平片上见不到的软组织影是A、肝脏
- 肝海绵状血管瘤MRI特征所见是T
- 下述哪些为贲门失弛缓症中期的X线表现有
- 有关肝多房棘球蚴病的描述,错误的是
- 以下哪一条不是典型肝血管瘤的CT表现A、
- 腹部CT显示腹腔积液密度稍高;腹膜均匀光
- 下列胃溃疡征象,哪些提示溃疡为活动性
- 下列胰腺疾病中,常显示钙化影的有哪些
- 导致肝硬化的原因不包括( )。A、病
- 关于胰腺炎,错误的是( )。A、急性
- 家族性结肠息肉综合征的有关说法,哪项是错