试题详情
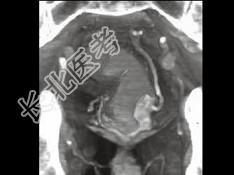
- 单项选择题男,50岁, 血便,大便形状改变, CT如图所示,最可能的诊断是 ( )

A、直肠息肉
B、直肠内粪便
C、直肠癌
D、直肠腺瘤
E、直肠淋巴瘤
关注下方微信公众号,搜题查看答案

热门试题
- 关于正常食管下端防止胃-食管反流的作用机
- 男性,78岁。进食梗阻2个月, 结合图像
- 下列有关“恶性胃溃疡”征象,错误的是
- 1、首选检查方法为2、如果腹部CT提示早
- 上消化道钡餐检查应检查至哪一部位 (
- 男,18岁,疲乏,贫血貌,CT示脾前缘近
- 下列关于“食管憩室”的描述错误的是
- 根据所提供的图像,最可能的诊断是 (
- 根据所提供的图像,最可能的诊断是 (
- 根据所提供的图像,最可能的诊断是 (
- 根据所提供的图像,最可能的诊断是 (
- 典型的肝脓肿注射Gd-DTPA后,增强的
- 返流性食管炎常继发 ( )A、食
- 根据所提供的图像,该病例的最可能的诊断为
- 转移性肝癌最常见的CT强化类型是 (
- 以下不是门静脉瘤栓CT表现的是A、平扫时
- 肠梗阻的分型中,最常见的为A、急性机械性
- 女,77岁, 进行性吞咽困难月余,伴胸闷
- 空回肠良性肿瘤中以哪些常见A、腺癌B、畸
- 下列病变中,斜位吞钡检查, 不形成食管压