试题详情
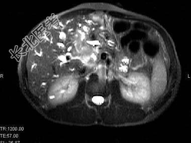
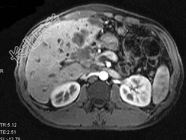
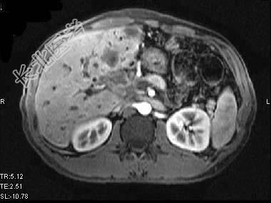
- 单项选择题根据所提供的图像,最可能的诊断是 ( )

A、肝囊肿
B、肝脓肿
C、先天性胆管扩张
D、胆管细胞癌肝内转移
E、以上都不是
关注下方微信公众号,搜题查看答案

热门试题
- 肝脏的不规则增强是由于 ( )A
- 关于“Whipple病”的特点,错误的是
- 男,72岁, 右上腹痛1月,AFP阴性,
- 关于特殊类型的溃疡,下列说法不正确的是A
- 典型的单纯性肝囊肿的CT密度是 (
- 60岁男性患者,右上腹痛伴低热一月余。超
- 典型胰头癌患者的CT扫描可见( )A
- 下述小儿“肠套叠”临床特点,错误的是
- 下述哪种病变,腹部平片价值最低 (
- 诊断先天性肥厚型幽门狭窄,最可靠的X线征
- 根据所提供的图像,最可能的诊断是 (
- 含钙化的肾上腺肿瘤是A、嗜铬细胞瘤,皮质
- 男,35岁, 上腹部反复疼痛伴进行性黄疸
- 根据所提供的图像,胰腺旁的气体可能来于
- 根据所提供的图像,最可能的诊断是 (
- 艾滋病患者,腹痛, 结合图像,最可能的诊
- 胃癌大体形态可分为 ( )A、浸
- 下列哪些是典型肝脓肿的CT表现A、平扫示
- 平坦型糜烂性胃炎与早期胃癌短期治疗后的鉴
- 以下哪一项CT表现提示直肠癌失去手术机会