试题详情
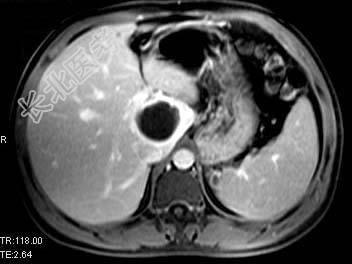
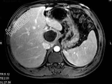
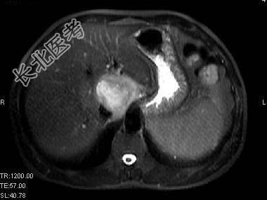
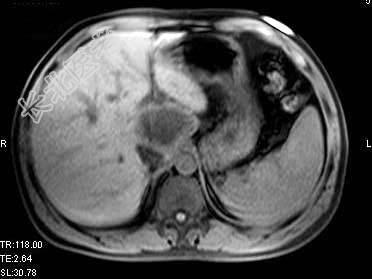
单项选择题根据所提供的图像,最可能的诊断是 ( )

A、肝囊肿

B、胆管细胞癌

C、先天性胆管扩张

D、肝脓肿

E、以上都不是

  • 关注下方微信公众号,搜题查看答案

热门试题