试题详情
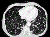
- 单项选择题患者女,56岁, 乳腺癌手术后,未行化疗, 结合CT图像,最可能的诊断是

A、肺转移瘤
B、肺结核
C、间质性肺炎
D、肺结节病
E、肺曲菌病
关注下方微信公众号,搜题查看答案

热门试题
- 膈脚外侧积液提示A、胸水B、腹水C、胸水
- 肺结核的确诊方法为A、CTB、体层摄影C
- 纵隔神经源性肿瘤的MRI特点不包括A、肿
- 女,8岁, 如图所示,最可能的诊断为
- 对于肺纹理的叙述正确的是A、肺纹理呈树枝
- 关于正常的肺部X线表现,叙述正确的是(
- 肺癌支气管动脉造影的异常表现是 (
- 中心型肺癌X线不易发现的征象为A、肺不张
- 以下关于膈肌肿瘤的特点,叙述正确的是(
- 关于胸腺瘤描述错误的是( )。A、前
- 主动脉后的团块是 ( )
- 男,74岁, 咳嗽,咳痰1月余, 咯血丝
- 下述哪项不属于毛细血管通透性增高引起的肺
- 男,40岁, 化脓性胆管炎手术后3天出现
- 关于右肺中叶不张的X线表现,下列错误的是
- 男,70岁, 以前是管道安装工,有石棉接
- 在诊断中心型肺癌方面,MRI表现有
- 以下征象中不支持纵隔肿瘤诊断的是A、呼吸
- 青年男性,自觉无明显不适, CT示双下肺
- 支气管内膜结核的CT征象,错误的是