试题详情
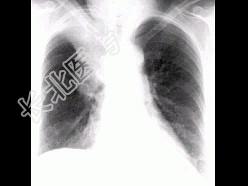
- 单项选择题男,74岁, 咳嗽,咳痰1月余, 咯血丝痰1周伴胸痛,胸片如图, 最可能的诊断为 ( )

A、右上肺浸润型肺结核
B、右上肺不张
C、右侧中央型肺癌并右上肺不张
D、右侧包裹性积液
E、右肺上沟瘤
关注下方微信公众号,搜题查看答案

热门试题
- 对支气管肺段的描述如图,正确的是 (
- 肺叶内型肺隔离症的供血动脉来自A、升主动
- 关于纵向弛豫的描述,不正确的是 (
- 卡氏肺囊虫病的特点有A、常为双侧性B、白
- 指出下述与肺心病符合的X线征象A、肺气肿
- 肺吸虫病引起的肺出血及组织破坏所致的X线
- 浸润型肺结核最常见的病理改变是 (
- 法洛四联症婴儿,一囊状结构引起气管狭窄,
- 患者感觉喉部通气不畅,呼吸短促, 最可能
- 女,34岁, 反复咳嗽20余年,结合图像
- 下列关于肺泡微石症的描述,错误的是
- 节段性肺不张的影像特征是A、近肺底的横行
- 1、患者病变的主要影像特征是( )A
- 下列不是放射性肺炎的X线表现的是A、急性
- 男,55岁,咳嗽、气短1年,秋冬加重。H
- 周围型肺癌与结核球的鉴别中对于后者是关键
- 支气管扩张的X线平片表现,下列哪项对诊断
- 虫蚀样空洞的壁是由什么组织形成A、肿瘤组
- 扫描必须包括上纵隔的疾病是A、甲状腺结节
- 男,18岁, 咳嗽头晕1月,结合胸片和C