试题详情
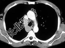
- 单项选择题主动脉后的团块是 ( )

A、腺瘤
B、神经纤维瘤
C、主动脉瘤
D、扩大的奇静脉
E、以上都不是
关注下方微信公众号,搜题查看答案

热门试题
- 男,28岁, 外伤后1小时,胸部CT如图
- 关于心包囊肿,描述正确的是A、非先天性疾
- 肺血管异常的疾病中,伴有肿块影的是
- 良、恶性胸膜间皮瘤的鉴别 (
- 国际劳工组织的肺尘埃沉着症X线片分类中,
- 青年男性,自觉无明显不适, CT示双下肺
- 下述关于纵隔神经源性肿瘤的诊断要点,错误
- 肺转移瘤的X线表现是A、肺门区肿块影,可
- CT测量右肺动脉心包段管径的理想部位为A
- 胸片上,肺内多发空洞可见于 (
- 女,39岁, 感胸痛、乏力,胸片如图,
- 肺错构瘤的典型钙化是( )A、沙砾样
- 支气管扩张的好发部位为 ( )
- 容易出现癌性淋巴管炎的肿瘤有( )A
- 男,57岁, 胸痛数月,近2天痰中带血,
- 女,52岁, 气短3月。胸片显示右上纵隔
- 两侧肺门增大多见于 ( )A、
- 区别肺叶发育不全与肺隔离症最佳的检查方法
- 女,39岁, 咳嗽伴轻微胸痛,CT检查如
- 正常胸部CT,一般升主动脉与降主动脉横径