试题详情
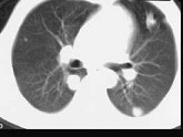
- 单项选择题男,40岁, 化脓性胆管炎手术后3天出现高热,伴胸痛, 咳嗽,CT如图, 最可能的诊断为 ( )

A、肺转移癌
B、金葡菌肺炎
C、肺淋巴瘤
D、肺多发性脓肿
E、肺组织胞浆菌病
关注下方微信公众号,搜题查看答案

热门试题
- 两侧肺门增大多见于 ( )A、
- 男2岁,左侧胸痛、气促, 如图所示,最可
- 中央型肺癌病理分型按发病率由多到少排列,
- 50岁,男, 右侧胸痛、咳嗽、咯血3月,
- 下述胸部病变诊断知识,错误的是 (
- 类癌的类型中不包括 ( )A、典
- 1、为明确诊断,患者首选的检查是(
- 1、该患者首先考虑诊断为( )。A、
- 小叶旁型肺气肿主要分布在 ( )
- 男,25岁, 外伤后摄片,结合图像, 最
- 有关硅肺的叙述不正确的是A、早期可出现间
- 关于特发性肺间质纤维化说法,错误的是(
- 最易引起有肺气囊的肺炎病菌是 (
- 下列描述中,错误的是 ( )A、
- 患者,男,23岁。低热,右胸刺痛,活动后
- 男,36岁, 胸痛半月伴发高热,胸片发现
- 下述肺炎的MRI表现特点,错误的是
- 下列关于继发性肺结核的说法,正确的是A、
- 结核病的分类不正确的是A、原发性肺结核B
- 膈脚外侧积液提示A、胸水B、腹水C、胸水