试题详情
- [材料题] 患者男性,43岁,已婚,因“视力下降伴头痛6个月”入院。患者于6个月前无明显诱因出现视力下降,伴有左侧额部阵发性头痛,无泌乳,无肢端肥大、面容无改变,无性功能减退,无多饮、多尿。至当地医院就诊,进行头颅CT检查提示“鞍区占位”,患者为求进一步治疗,来我院就诊,门诊以“鞍区占位”收入院手术治疗。患者自发病以来,一般情况可,无发热,饮食、睡眠可,大小便正常,无明显智力下降,体重无明显改变。查体:神志清楚,精神尚可,查体合作,生命体征稳定,双瞳左:右=2.5:2.5mm,光反应灵敏,粗侧视力下降,面纹对称,伸舌居中,听力粗测正常,感觉系统无异常,双侧肢体肌力Ⅴ级,肌张力腱反射未见异常,双侧生理反射存在,双侧病理征(—)。实验室检查:患者入院后完善术前各项检查,查催乳素(PRL)>4300.0mU/L↑。既往体健。
- 多项选择题1.患者入院后应优先选择以下哪些常规检查( )
A、颅脑CT平扫
B、垂体MRI平扫+增强
C、颅脑MRA
D、胸部X线片
E、超声心动图(UCG)
F、颅脑CT增强
关注下方微信公众号,搜题查看答案

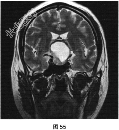
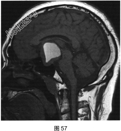
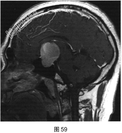
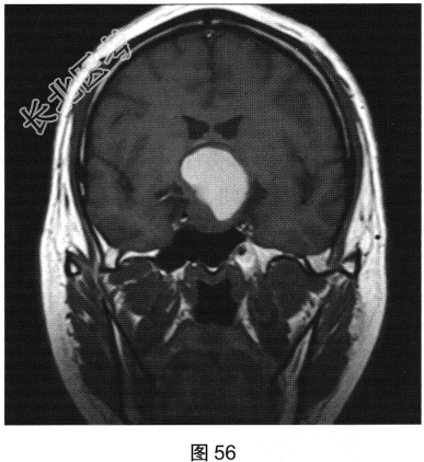
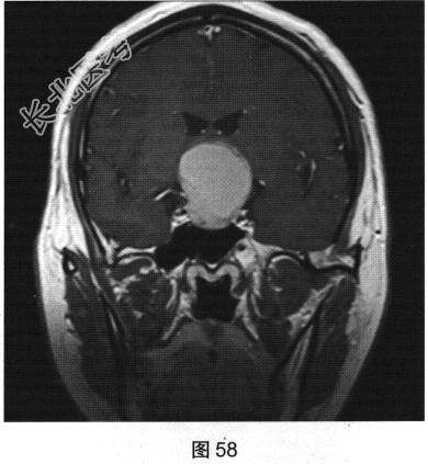
- 多项选择题2.[提示]患者行垂体MRI检查,见图55~图59。患者MRI检查可见哪些阳性影像学表现( )



A、矢状位增强扫描显示垂体及垂体柄显示不清
B、冠状位T1WI上呈等高信号
C、矢状位T1WI上视交叉抬高
D、冠状位T2WI上呈等高信号
E、矢状位T1WI上垂体显示不清
F、冠状位T1WI上可见钙化信号影
G、冠状位增强扫描显示实性部分明显均匀强化
H、MRI示鞍区囊实性占位性病变
I、冠状位增强扫描显示双侧海绵窦受侵
关注下方微信公众号,搜题查看答案

- 多项选择题3.根据上述病史及影像学检查,提示该患者的诊断可能是( )
A、Rathke裂囊肿
B、垂体腺瘤伴囊变
C、脑膜瘤
D、垂体脓肿
E、动脉瘤
F、脊索瘤
G、颅咽管瘤
关注下方微信公众号,搜题查看答案

- 多项选择题4.该患者的病变部位提示哪些器官受到压迫( )
A、视交叉
B、颈内动脉
C、听神经
D、海绵窦
E、三叉神经
F、蝶骨
G、基底动脉
H、丘脑
关注下方微信公众号,搜题查看答案

热门试题
- 1、患者入院后的首选检查应包括( )
- 患者女,42岁。右侧听力下降, MRI检
- 如图箭头所示为大脑哪个部位 (
- 女,34岁, 头痛数年,头颅MRI平扫及
- 不产生脑脊液的是A、侧脑室B、第三脑室C
- 男,45岁, 反复呕吐近1个月,加重5天
- 关于Chiari畸形的描述,错误的是
- 关于脑膜瘤的描述,正确的是A、肿瘤可发生
- 一端与颅底分离的不稳定骨折又称为 (
- 下列脑肿瘤,哪些易钙化 ( )
- 鞍区肿瘤、垂体瘤患者应首选的摄影位置是(
- 如图箭头所示为大脑哪个部位 (
- 侵袭性垂体瘤侵犯海绵窦或鞍旁,其侵犯方式
- 乙醇中毒性脑病的临床表现包括( )。
- 以脑室扩大表现为主的“脑萎缩”称为
- 多形性胶质母细胞瘤的典型CT表现为A、病
- 颈内动脉颅内段分为A、岩骨段B、海绵窦段
- 男,50岁, 低热,乏力, 腰痛2个月,
- 胼胝体发育不全的直接征象是 (
- 男,23岁,视力减退3月余,左侧视乳头原