试题详情
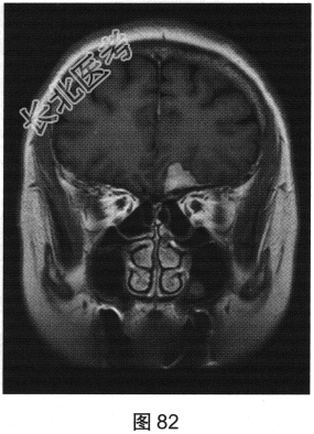
- [材料题] 患者女性,74岁,因“突发头晕伴呕吐11小时”入院。患者11小时前,于早餐前突发头晕、恶心,随后食用半个苹果后呕吐一次,无头痛、无视物模糊,无四肢活动障碍。查体:神清语利,GCS15分;双侧瞳孔等大等圆,对光反应灵敏,眼球运动正常;无感觉减退,四肢肌力、肌张力正常;病理征未引出。实验室检查:血尿便常规及凝血功能未见明显异常。
- 多项选择题1.患者入院后的首选检查应包括( )
A、头颅X线片
B、颅脑MRI
C、胸部X线片
D、颅脑CT
E、脑血管造影
F、心电图
关注下方微信公众号,搜题查看答案

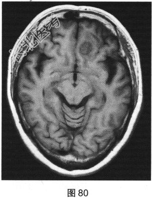
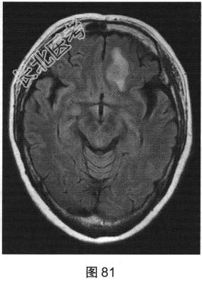
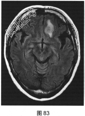
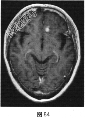
- 多项选择题2.[提示]患者行MRI检查,如图80~图85所示。患者MRI检查的阳性影像学表现包括( )





A、MRI示右侧大片水肿
B、病变增强扫描未见明显强化
C、MRI示左侧大片水肿
D、FLAIR呈稍高信号
E、病变增强扫描可见明显强化
F、FLAIR呈稍低信号
G、MRI示左侧异常信号影
H、MRI示右侧异常信号影
关注下方微信公众号,搜题查看答案

- 多项选择题3.根据患者病史及影像学检查,提示其可能的诊断是( )
A、肉芽肿
B、特发性肥厚性硬脑膜炎
C、脑膜瘤
D、低级别星形细胞瘤
E、淋巴瘤
F、转移瘤
关注下方微信公众号,搜题查看答案

- 多项选择题4.患者的首选治疗方法是( )
A、手术切除
B、随诊复查
C、口服药物治疗
D、放射治疗
E、介入治疗
F、中药治疗
关注下方微信公众号,搜题查看答案

热门试题
- 下列何种MRI检查方式可更早检出缺血性脑
- 外伤性CCF是指 ( )A、颈
- 豆状核的描述,下列哪项不正确 (
- 下列哪类脑肿瘤常见钙化影 ( )
- 在哪个时期,脑血肿与脑梗死的CT表现相仿
- 女,45岁, 垂体瘤术后7年,2个月前开
- 女性,25岁, 右侧耳鸣、听力下降。临床
- 男,22岁, 发热、乏力,PPD(+),
- 以下一般不是颅脑MRI检查的适应证的是(
- 脑脓肿初步形成包裹一般在几周 (
- 应与脑脓肿相鉴别的疾病包括A、星形细胞B
- 下列哪种椎管内肿瘤于注射Gd-DTPA后
- 男,13岁, 头痛1月余,近2天癫痫发作
- 女,42岁, 经常头痛,近两个月出现抽搐
- 关于脑血管疾病钙化,下列哪些正确A、颈内
- 获得性中耳胆脂瘤的CT特征性表现为
- 下列ChiariⅠ型畸形的描述中,哪项是
- 皮肤色素过度沉着的牛奶咖啡斑常见于(
- 颈动脉三角间隙内不含有A、颈总动脉B、颈
- 结节性硬化的钙化特征是 ( )A