试题详情
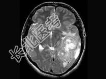
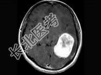
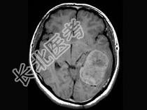
单项选择题女,34岁, 头痛数年,头颅MRI平扫及增强扫描, 最可能的诊断是 ( )

A、天幕脑膜瘤

B、星形细胞瘤

C、生殖细胞瘤

D、动脉瘤

E、三叉神经瘤

  • 关注下方微信公众号,搜题查看答案

热门试题