试题详情
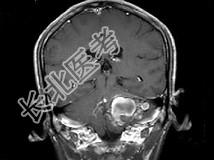
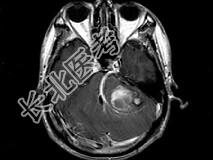
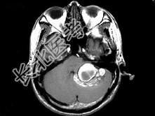
- 单项选择题男,45岁, 反复呕吐近1个月,加重5天, 根据所提供图像,最可能的诊断是 ( )

A、海绵状血管瘤
B、静脉血管畸形
C、脑出血
D、动静脉畸形
E、小脑胶质瘤并出血
关注下方微信公众号,搜题查看答案

热门试题
- 女,59岁, 咳嗽,痰中带血2周, 头痛
- 诊断动静脉畸形(AVM)最可靠的方法是A
- 女,38岁, 头痛、闭经,MRI检查如图
- 有关神经系统的组合,错误的是A、中枢神经
- 患者,男,27岁。头痛,高热3天。CT示
- 肝豆状核变性与下列哪种物质代谢障碍相关(
- 外伤性CCF最常见的三大临床表现为
- 发生在桥小脑角区肿瘤中无强化的是A、三叉
- 不符合脑结核瘤的CT表现的是 (
- 蛛网膜下腔出血的间接征象有 (
- 1、关于该病的MRI描述正确的是2、根据
- 大脑前动脉主要供血区为A、半球上外侧面和
- 顺磁性铁在深部灰质核团的沉积与患者年龄有
- 男,7岁, 癫痫间歇性发作3个月余,面部
- 男,15岁, 头痛、呕吐数天,生活在疫区
- 显示脑囊虫头节最佳的检查方法为A、MRI
- 以下有关阿尔茨海默病(AD)的叙述,不正
- 男,18岁, 角膜有K-F环,结合所提供
- 女,4岁, 头痛、呕吐2天,根据所提供图
- 结节性硬化患者在头颅X线平片或CT扫描发