试题详情
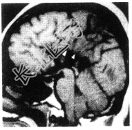
- [材料题] 患者,女性,41岁。智力低下,MRI结果如下图所示。

- 单项选择题1.可能的诊断是( )。
A、胼胝体缺如
B、脑裂畸形
C、灰质异位
D、结节性硬化
E、斯德奇-韦伯(Sturge-Weber)综合征
关注下方微信公众号,搜题查看答案

- 单项选择题2.关于该病的描述,错误的是( )。
A、常与其他畸形伴发,如前脑无裂畸形、Chiari畸形、胼胝体脂肪瘤等
B、均为全部缺如
C、矢状位显示最佳,无胼胝体结构
D、脑回放射状排列,指向侧脑室
E、影像学首选MR矢状面、冠状面
关注下方微信公众号,搜题查看答案

热门试题
- 男,44岁, 右耳听力进行性减弱,结合图
- 1、该患儿最可能的诊断是( )A、脉
- 1、患者入院后首选以下哪项常规检查(
- 在哪个时期,脑血肿与脑梗死的CT表现相仿
- 男,32岁, 有头颅外伤史,结合CT图像
- 1、初步诊断为( )。A、脑星形细胞
- 下列关于“蛛网膜囊肿”CT特点的描述,下
- 男性,7岁, 头痛呕吐2月余。CT显示小
- 下述颅脑CT的异常表现中,除哪项外其他的
- 脊髓血管畸形首选影像学检查方法是(
- 显示脑囊虫头节最佳的检查方法为A、MRI
- 额顶叶的分界为 ( )A、中央前
- 女,58岁, 右侧肢体无力3个月。CT示
- 可以导致结构一代谢异常源型癫痫的疾病包括
- 关于脑膜瘤,叙述错误的是( )A、起
- 结节性硬化的脑部病理特征,不正确的是A、
- 获得性中耳胆脂瘤的CT特征性表现为
- 男,61岁, 头晕头痛伴行走不稳1月余,
- 关于侵袭性垂体瘤容易侵犯的结构,叙述正确
- 好发于灰结节的肿瘤是 ( )A、