试题详情
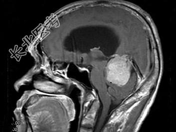
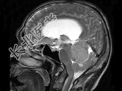
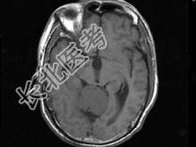
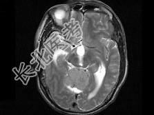
- 单项选择题男,61岁, 头晕头痛伴行走不稳1月余,根据所提供图像, 最可能的诊断是 ( )

A、胶质瘤
B、髓母细胞瘤
C、(天幕切迹缘)脑膜瘤
D、转移瘤
E、淋巴瘤
关注下方微信公众号,搜题查看答案

热门试题
- 星形细胞瘤分为 ( )A、2级B
- 成人,头痛、发热、血象高, CT检查见脑
- 女,10岁, 头痛,抽搐, 右颞部膨隆,
- 头颅CT所示与肿瘤无关的是下列哪项
- 脑外伤后血管的并发症包括A、血管痉挛B、
- 男,25岁,CT示双侧听神经鞘瘤,应考虑
- 1、正确的诊断是( )。A、蛛网膜下
- 有关胚胎发育过程,正确的是A、胚胎15~
- 硬膜外血肿MRI表现中,下列描述哪项有错
- 下列X线平片表现中,哪项与颅内肿瘤无关
- 不属于垂体微腺瘤的常见症状的是A、月经不
- 急性脑梗死发病后,CT可无异常发现的时间
- 女性,25岁, 右侧耳鸣、听力下降。临床
- 颅底骨折的间接征象是A、硬膜外血肿B、硬
- 关于脑脓肿的描述,错误的是 (
- 关于"神经纤维瘤病"最常见、最特征的脑肿
- 有关脑膨出的组织描述正确的是A、膨出的组
- 脑部病变在扩散加权像上呈高信号,ADC呈
- 下列选项中,“强化程度最高”的脑肿瘤是
- 蛛网膜下腔出血首选的检查方法应为A、MR