试题详情
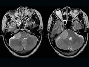
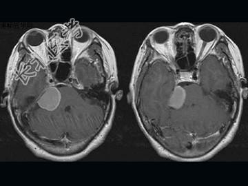
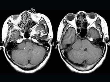
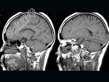
- 单项选择题女,57岁, 左侧听力进行性减退半年余,MRI检查如图, 最可能的诊断为 ( )

A、听神经瘤
B、三叉神经瘤
C、胆脂瘤
D、脑转移瘤
E、桥小脑角脑膜瘤
关注下方微信公众号,搜题查看答案

热门试题
- 以下属于颅脑MRI检查的适应证的是(
- 头颅平片可以显示A、前床突B、后床突C、
- 垂体微腺瘤在CT扫描时的间接征象包括以下
- 小脑扁桃体位置变异较大,可突入枕骨大孔,
- 脑干结构不包括 ( )A、桥脑B
- 男,40岁, 头痛、头晕、恶心,病程二年
- 1、以下叙述不正确的是( )。A、右
- 颅脑CT图像出现带征提示A、脑炎B、脑梗
- CT示鞍上池囊实性占位病变,囊壁可见蛋壳
- 颈内动脉虹吸段哪一段全部走行在海绵窦内A
- CT鉴别小脑星形细胞瘤与血管网状细胞瘤的
- 髓鞘形成不良病不包括 ( )A、
- 有关脑转移瘤,下列描述错误的是A、脑实质
- 关于脑干的描述,正确的是A、由延髓、脑桥
- 两个月女婴,口咽部有一肿块, 行CT检查
- 女,22岁, 胸背部及头皮下多发红色丘疹
- 女,41岁, 头痛,头晕, 走路不稳1个
- 男,35岁,剧烈头痛2天,临床拟诊为急性
- 1、可能的诊断是( )。A、神经纤维
- 男,癫痫病史2年, 近两个月出现头痛、恶