试题详情
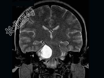
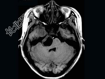
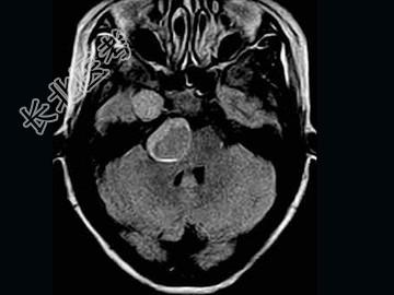
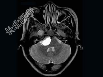
- 单项选择题女,41岁, 头痛,头晕, 走路不稳1个月余,MRI检查, 最可能的诊断为 ( )

A、听神经瘤
B、脑膜瘤
C、三叉神经瘤
D、胆脂瘤
E、神经纤维瘤
关注下方微信公众号,搜题查看答案

热门试题
- 异常脑MRI分析正确的有 (
- 关于颅骨中的孔与其通过组织的组合,哪项是
- 微小听神经瘤直径A、<1cmB、1
- 弥漫性星形细胞瘤的MRI表现,不正确的是
- 顺磁性铁在深部灰质核团的沉积与患者年龄有
- 常引起视神经孔增大的病变是 (
- 发生于幕下第四脑室的室管膜瘤应与下述哪种
- 男,1岁, 呕吐1周,结合图像, 最可能
- 下列关于脑出血的描述不正确的是A、急性期
- 颅内高压的X线表现是A、颅缝分离B、颅板
- 垂体瘤不易发生A、沿脑脊液种植B、出血、
- 颅内高压时,可见下述哪条征象 (
- 下列关于多形性胶质母细胞瘤的描述正确的是
- 颅咽管瘤的诊断要点,下列描述哪项错误
- 如图箭头所示为大脑哪个部位 (
- MRI对甲状旁腺腺瘤的检出率可达 (
- 以脑室扩大表现为主的“脑萎缩”称为
- 幕上,下联合受阻有六条通道,最常见的是
- 女,40岁, 头部外伤4小时,CT示侧脑
- 女,51岁, 视力下降伴左侧面部麻木1个