试题详情
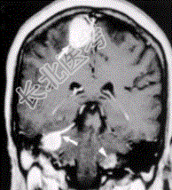
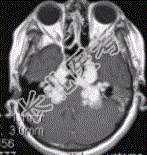
- [材料题] 患者,男性,21岁。头痛、步态不稳,MRI显示如下图。

- 单项选择题1.可能的诊断是( )。
A、神经纤维瘤病Ⅱ型
B、神经纤维瘤病Ⅰ型
C、多发脑膜瘤
D、多发神经鞘瘤
E、多发转移瘤
关注下方微信公众号,搜题查看答案

- 单项选择题2.关于神经纤维瘤病的影像学表现,正确的是( )。
A、Ⅰ型主要累及外周神经的丛状纤维瘤及视神经胶质瘤
B、Ⅱ型可见蝶骨大翼发育不良,眶上裂增宽等
C、皮肤café-au-lait斑,腋窝、腹股沟雀斑常见于Ⅱ型
D、Ⅰ型常见多发脑神经鞘瘤、脑膜瘤及脊神经肿瘤
E、NF-2相关的神经鞘瘤较散发的增生活性高而且存在侵袭性
关注下方微信公众号,搜题查看答案

- 单项选择题3.下图影像学表现可诊断为( )。

A、神经纤维瘤病Ⅱ型
B、神经纤维瘤病Ⅰ型
C、多发脑膜瘤
D、多发神经鞘瘤
E、多发脑转移瘤
关注下方微信公众号,搜题查看答案

热门试题
- 男,34岁, 3个月前行左额叶脑肿瘤切除
- 下列疾病不属于脱髓鞘病变的是A、桥脑中央
- 男,12岁, 头痛、呕吐2周。CT示第四
- 中间帆腔(间位帆池)位于 ( )
- 缺氧所致的颅内出血以下列哪种较常见
- 蛛网膜囊肿最常见的部位是 ( )
- 颅咽管瘤的钙化呈( )。A、块状B、
- 女,37岁, 因车祸胫骨骨折十余天,突发
- MRI平扫胼胝体的信号为 ( )
- 不属于良性星形细胞瘤征象的是 (
- 女,57岁, 左侧听力进行性减退半年余,
- 患者男性,高处坠落后颅脑CT报告硬膜下血
- 癫痫持续状态脑病的鉴别诊断不包括(
- 下列哪种疾病,不出现局限性颅骨“竖发”表
- 下列脑脊液的描述,正确的选项是 (
- 颅内动脉瘤分为哪几型A、粟粒状动脉瘤B、
- CT显示跨越颅中后窝哑铃状肿块,岩骨尖部
- 脑膜瘤肿瘤的好发部位,按从多到少的排列顺
- 硬膜外型海绵状血管瘤多发生于 (
- 关于脑转移瘤,错误的是( )。A、多