试题详情
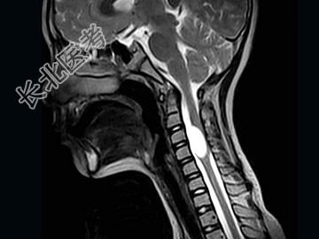
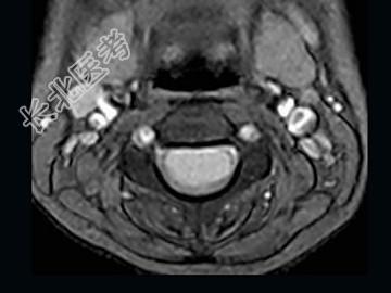
- 单项选择题女,9岁, 颈部疼痛、活动受限2个月,MRI检查如图, 最可能的诊断为 ( )

A、室管膜瘤
B、星形细胞瘤
C、神经鞘瘤
D、髓内囊肿
E、脊膜瘤
关注下方微信公众号,搜题查看答案

热门试题
- 1、该患者拟行颅脑MRI检查,应扫描的序
- 患者,男,27岁。头痛,高热3天。CT示
- 关于脑膜瘤的描述,错误的是A、起源于脑膜
- 生殖细胞瘤与松果体瘤鉴别,最有利于生殖细
- 结节性硬化的CT特征,不正确的是A、CT
- 在平片上,关于颅骨血管压迹的描述,正确的
- 有关中耳胆脂瘤的描述,哪项是错误的
- 男,61岁, 头晕头痛伴行走不稳1月余,
- 下列X线平片表现中,哪项与颅内肿瘤无关
- 男,65岁, 右侧肢体力弱,CT示左额顶
- 关于烟雾病,下列正确的是A、反复发作、单
- 1、CT检查提示左侧脑沟扩大,左侧额顶叶
- 男性,10岁,有性早熟的临床表现,松果体
- 高血压脑出血的好发部位是 (
- 结核性脑膜炎的CT表现不包括A、脑沟及脑
- 垂体瘤易A、沿脑脊液种植B、出血C、侵犯
- 多发性硬化的诊断要点,下列描述哪项不对
- 脑内白质与灰质相比一般在MR信号和CT密
- 男,46岁, 面部肌肉麻木、疼痛,咀嚼困
- 颅底位可显示A、圆孔B、卵圆孔C、破裂孔