试题详情
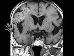
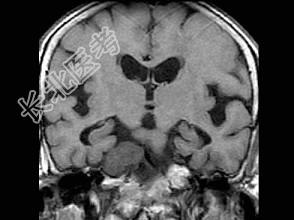
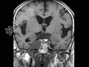
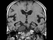
- 单项选择题男,46岁, 面部肌肉麻木、疼痛,咀嚼困难, 牙痛,MRI检查如图, 最可能的诊断是 ( )

A、听神经鞘瘤
B、三叉神经鞘瘤
C、脑膜瘤
D、皮样囊肿
E、表皮样囊肿
关注下方微信公众号,搜题查看答案

热门试题
- 男,8岁, 1周前出现头痛、呕吐,根据所
- 1、根据患者MRI平扫和增强的表现,其可
- 男,52岁, 感头痛2周余,根据所提供图
- 不符合脑结核瘤的CT表现的是 (
- MRI平扫胼胝体的信号为 ( )
- 以脑沟、脑池、脑裂增宽表现为主的“脑萎缩
- 轴位图像上,以下哪项为幕下肿瘤征象A、小
- 颅板厚薄不匀,较薄的部位是A、额顶部B、
- 头颅侧位片中,不能显示A、蝶鞍B、脑室C
- 少枝胶质细胞瘤的特征性CT表现是 (
- 男,31岁, 常感觉头痛,CT图像如图,
- 患儿,男,10岁。MRI示第四脑室内一边
- 患儿6岁,自1岁后多次癫痫发作, 药物治
- 一般脑血肿多少天后可进入低密度期 (
- 女,41岁, 胸背部疼痛,肢体活动感觉障
- MRI上,有出血的脑转移癌常提示肿瘤来自
- 以下有关多发性硬化的病因叙述,不正确的是
- 颅内生殖细胞瘤可发生于A、鞍区B、后颅窝
- 颅内肿瘤头颅平片表现可以是:( )A
- 女,78岁, 突然意识障碍,结合CT图像