试题详情
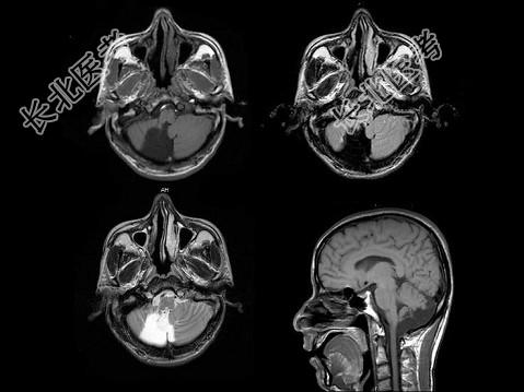
- 单项选择题男,45岁, 共济失调伴癫痫发作,结合图像, 最可能的诊断是 ( )

A、脑干畸形
B、胼胝体发育不良
C、脑室畸形
D、Chiari畸形
E、Dandy-Walker综合征
关注下方微信公众号,搜题查看答案

热门试题
- 男,1岁, 癫痫发作3次,智力反应低下,
- 下列诊断颅底骨折的依据中最确切的是A、皮
- 可以导致结构一代谢异常源型癫痫的疾病包括
- 如图箭头所示为大脑哪个部位 (
- 以下与颅脑MRI技术无关的是( )。
- 男,61岁, 头晕头痛伴行走不稳1月余,
- 男,46岁, 头痛、精神异常、意识模糊、
- 外伤性CCF最常见的三大临床表现为
- 中枢神经系统结节性硬化包括 (
- 脑(肝)豆状核变性,脑的铜沉积并发胶质增
- 关于先天性脑穿通畸形,描述正确的是A、胎
- 关于胶质瘤,叙述错误的是( )A、W
- 关于脑转移瘤,错误的是( )。A、多
- 轴位图像上,以下哪项为幕下肿瘤征象A、小
- 下列病变中,哪种罕有出血 ( )
- 发生在桥小脑角区肿瘤中无强化的是A、三叉
- X线平片上见到颅内有病理性钙化灶可能是A
- “硬膜外血肿”典型形态为 ( )
- 女,10岁, 头痛,抽搐, 右颞部膨隆,
- 患儿,女, 14岁。车祸致头颅外伤3天。