试题详情
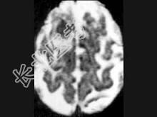
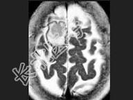
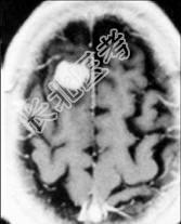
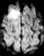
- 单项选择题男,46岁, 头痛、精神异常、意识模糊、左侧肢体无力,MRI检查如图所示, 最可能的诊断为 ( )

A、表皮样囊肿
B、脑膜瘤
C、胶质母细胞瘤
D、淋巴瘤
E、脑梗死
关注下方微信公众号,搜题查看答案

热门试题
- 关于鞍上池横断面解剖部位正确的是A、池内
- 成人脑积水患者,下列CT表现哪项不对
- 关于烟雾病,下列说法正确的是A、又称St
- 关于颅底孔裂的描述正确的是A、舌下神经管
- 鞍区CT扫描后处理技术不包括( )。
- 外伤性CCF是指 ( )A、颈
- 慢性硬膜下血肿与硬膜下积液(水瘤)的鉴别
- 患者女,25岁。临床主要症状为癫痫, 头
- 下列属于投射纤维 ( )A、前连
- 下列ChiariⅠ型畸形的描述中,哪项是
- 女,45岁, 右侧听力下降半年。CT示左
- 正常生理性基底节钙化主要分布在 (
- 男,67岁, 头痛5个月,CT及MRI检
- 结节性硬化的钙化特征是 ( )A
- 脑膜瘤来源于A、硬脑膜B、软脑膜C、蛛网
- 下列关于基线描述错误的是 ( )
- 男,58岁, 头痛、恶心、行走不稳,肺和
- 腔隙性脑梗死的大小一般是 ( )
- 下列哪项叙述不符合结核性脑膜炎的CT表现
- 脑内白质与灰质相比一般在MR信号和CT密