试题详情
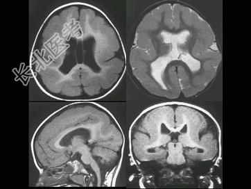
- 单项选择题患儿6岁,自1岁后多次癫痫发作, 药物治疗疗效不明显。如图所示,最可能的诊断为 ( )

A、巨脑回
B、脑裂畸形
C、灰质移位
D、无脑回畸形
E、无脑畸形
关注下方微信公众号,搜题查看答案

热门试题
- 脑裂、脑沟和脑回发育畸形包括 (
- 脑出血的CT值一般不会超过A、64HuB
- 男,16岁, 头痛、呕吐10天,CT检查
- 蛛网膜囊肿的好发部位依次为 (
- 男,27岁, 头痛、双眼视力下降、多饮、
- 肝豆状核变性与下列哪种物质代谢障碍相关(
- 颅内高压的X线表现是A、颅缝分离B、颅板
- 男,42岁, 头痛、恶心半年余,逐步加重
- 转移瘤CT表现,下列哪项是错误的A、多发
- 下列何种MRI检查方式可更早检出缺血性脑
- 下列影像学表现属于局灶性皮质发育不良的是
- 以下不属于硬膜外血肿特点的是( )。
- 下列颅骨缝隙,表现为锯齿状改变的是
- 1、根据患者临床表现,应首先考虑下列哪些
- 结节性硬化的钙化特征是 ( )A
- 男,65岁, 右侧肢体力弱,CT示左额顶
- 男,35岁,剧烈头痛2天,临床拟诊为急性
- 怀疑癌性淋巴管炎的病人,CT检查应采用的
- 垂体微腺瘤是指肿瘤直径 ( )A
- 男,30岁, 寒战,高热伴头痛, 呕吐1