试题详情
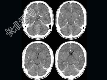
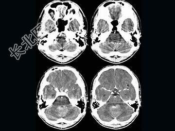
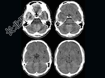
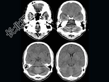
- 单项选择题男,16岁, 头痛、呕吐10天,CT检查, 最可能的诊断为 ( )

A、脑膜瘤
B、髓母细胞瘤
C、室管膜瘤
D、脑血管瘤
E、血管母细胞瘤
关注下方微信公众号,搜题查看答案

热门试题
- 颅骨骨折的直接征象是A、颅缝分离B、颅内
- 下列颅内钙化哪项不是生理性钙化A、侧脑室
- 关于侵袭性垂体瘤容易侵犯的结构,叙述正确
- 下列哪项叙述不符合结核性脑膜炎的CT表现
- 鞍区旁最常见的肿瘤是 ( )A、
- 脑部病变在扩散加权像上呈高信号,ADC呈
- 以下哪种CT征象最有助于脑外肿瘤的诊断
- 关于“星形胶质瘤”,下列描述哪项不对
- 下列哪些可在X线平片上形成伪影 (
- 头颅平片上可见到下列哪些结构的压迹A、脑
- 男,38岁, 头痛半年余,MRI检查如图
- 关于垂体瘤X线平片检查,下列叙述哪项正确
- 下列脑包虫病CT征象描述,正确的是
- 皮肤出现色素斑,很有可能是( )A、
- 脑结核引起慢性肉芽肿性脑膜炎主要在下列哪
- 下列属于投射纤维 ( )A、前连
- 男,51岁, 1个月前开始头痛,头昏,
- 关于多形性胶质母细胞瘤的CT表现,下列哪
- 男,56岁, 头部被弹片炸伤,CT检查如
- 脑血管造影侧位片上大脑前动脉发出A、眶额