试题详情
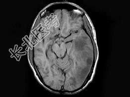
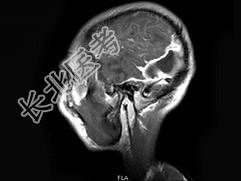
- 单项选择题男,30岁, 寒战,高热伴头痛, 呕吐10天,头颅MRI平扫及增强扫描见颅内不规则环形强化, 应诊断为 ( )

A、化脓性脑膜脑炎并脑脓肿形成
B、结核性脑膜脑炎并结核瘤形成
C、脑膜及颅内转移瘤
D、星形细胞瘤
E、未见异常
关注下方微信公众号,搜题查看答案

热门试题
- 女,36岁, 右眼视力下降6年多,左眼视
- 女,31岁, 癫痫发作,头痛, 头晕,结
- 关于听神经瘤MRI表现,叙述错误的是(
- 下列颅骨缝隙,表现为锯齿状改变的是
- 生殖细胞瘤发生在颅内不同部位,分型包括(
- 1、初步诊断为( )。A、脑脓肿B、
- 关于侵袭性垂体瘤容易侵犯的结构,叙述正确
- 关于“听神经瘤”,下列描述哪项不对
- 脑内占位病变的CT定位表现为 (
- 女,13岁, 皮肤有多发结节和多发棕色素
- 男,67岁, 头痛5个月,CT及MRI检
- 腔隙性脑梗死的大小一般是 ( )
- 关于“星形胶质瘤”,下列描述哪项不对
- 关于脑外肿瘤的MRI定位诊断,下列哪项不
- 女,41岁, 头痛,头晕, 走路不稳1个
- 如图箭头所示为大脑哪个部位 (
- Wilson病CT征象包括下述哪些
- 小脑扁桃体延髓联合畸形,常伴发其他脑发育
- 癫痫发作2次,CT平扫示侧脑室旁多发低密
- 男,42岁, 头痛2年,加重1个月, M