试题详情
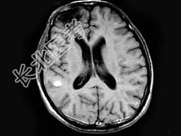
- 单项选择题男,26岁, 头痛、烦躁、意识障碍伴肢体活动障碍数天,头颅MRI检查见多发不规则小条片状结节状强化, 最可能的诊断是 ( )

A、脑结核
B、脑弓形虫病
C、化脓性脑炎
D、多发性硬化
E、未见异常
关注下方微信公众号,搜题查看答案

热门试题
- Dandy-Walker综合征不出现的影
- 女,46岁, 头痛、头昏半月入院,根据所
- 男,7岁,癫痫。CT示右顶叶有楔形裂隙,
- 桥小脑角区最常见的肿瘤是 ( )
- CT示颅底中线占位病变,斜坡及鞍背骨质破
- 颅面血管瘤病和结节性硬化共有的征象为
- 女,30岁, 闭经、视物模糊、头痛,近1
- X线平片上,松果体生理性钙化其直径不应超
- 脱髓鞘不包括A、多发性硬化B、急性播散性
- 患者,男, 30岁,两手乏力、发麻, 结
- 好发于灰结节的肿瘤是 ( )A、
- 颅咽管瘤的钙化呈( )。A、块状B、
- 小脑血管母细胞瘤和囊性星形细胞瘤的CT鉴
- 男,32岁, 发热,头痛, 结合CT图像
- 男,32岁, 头痛呕吐半个月,MRI检查
- 男,32岁, 有头颅外伤史,结合CT图像
- 颈动脉三角间隙内不含有A、颈总动脉B、颈
- 急性硬膜下血肿是指A、24小时以内B、3
- 男,30岁,右面部疼痛。CT示右桥小脑角
- 不能进行颅脑增强CT扫描的是下列哪项