试题详情
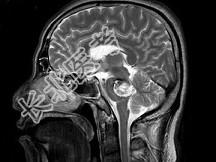
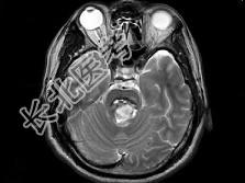
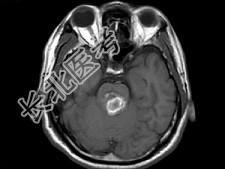
- 单项选择题男,42岁, 头晕视物旋转,面部麻木半月余, 根据所提供图像,最可能的诊断是 ( )

A、脑干动静脉血管畸形
B、脑干出血
C、脑干血管瘤
D、脑干胶质瘤并出血
E、脑干梗死
关注下方微信公众号,搜题查看答案

热门试题
- 不属于良性星形细胞瘤征象的是 (
- “Parkinson病”患者,CT扫描上
- 关于Chiari畸形的描述,错误的是
- 女,20岁, 小便失禁数年,MRI扫描见
- 颅底骨折的间接征象是A、硬膜外血肿B、硬
- 少突胶质细胞瘤的CT表现有A、多呈类圆形
- 颅内动脉瘤栓塞常用的栓塞材料为A、真丝微
- 属于神经元移行异常的疾病为A、胼胝体发育
- 男,7岁, 头痛,MRI表现如图, 最可
- 关于“恶性星形细胞瘤”,下列描述哪项不对
- 下列脑神经出颅途径描述,哪项是错误的A、
- "短头畸形"的颅缝闭合特点为A、冠状缝提
- 脊膜瘤的有关病理特点中,下列哪项错误
- 不能进行颅脑增强CT扫描的是下列哪项
- 下列颅内肿瘤最易合并出血的是 (
- 男,22岁, 耳后见一直径约2cm黑痣,
- 头颅CT所示与肿瘤无关的是下列哪项
- 关于"神经纤维瘤病"最常见、最特征的脑肿
- 女,78岁, 突然意识障碍,结合CT图像
- 下列颅内出血急性期的描述中,错误的是