试题详情
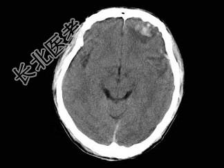
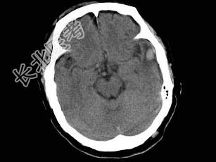
- 单项选择题成人,外伤后1小时, CT检查如图,最可能的诊断为 ( )

A、脑出血
B、脑膜瘤
C、脑转移瘤
D、脑挫裂伤
E、钙化灶
关注下方微信公众号,搜题查看答案

热门试题
- 关于垂体瘤的描述哪项不正确A、大腺瘤可突
- 男,38岁, 外伤后半个月,行CT复查如
- 如图箭头所示为大脑哪个部位 (
- CT图像中,肿瘤的直接征象不包括 (
- 女,38岁, 有癫痫发作史,面部有皮脂腺
- 如图箭头所示为大脑哪个部位 (
- 下列CT表现中,不支持颅内表皮样囊肿诊断
- 如图箭头所示为大脑哪个部位 (
- 静脉注射对比剂后,CT扫描不出现环状增强
- 下列哪种颅内肿瘤不需要放射治疗A、毛发型
- 女,3岁, 头痛、呕吐1周,结合MRI图
- 与鞍上池相邻的是A、前为额叶,侧为颞叶,
- 关于脑外肿瘤的MRI定位诊断,下列哪项不
- Dandy-Walker综合征的典型CT
- 男,55岁, 双下肢乏力2个月余,MRI
- 患者女,42岁。右侧听力下降, MRI检
- 小脑的血供主要来自A、大脑中动脉B、大脑
- 关于髓母细胞瘤的描述,下列哪项错误
- 髓内室管膜瘤CT扫描下述诸征象的描述,错
- 脑室系统不包括 ( )A、中脑导