试题详情
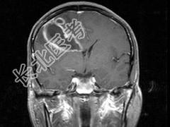
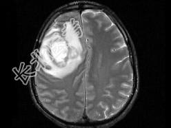
- 单项选择题男,49岁, 头痛、左侧肢体不能活动1周,PE: 左上下肢肌力O级,根据所提供图像, 最可能的诊断是 ( )

A、(右额顶)脑结核
B、(右额顶)脑转移瘤
C、(右额顶)脑脓肿
D、(右额顶)脑膜瘤
E、(右额顶)胶质瘤
关注下方微信公众号,搜题查看答案

热门试题
- 颅内结核瘤在CT扫描时有以下几种特点
- 小脑的血供主要来自A、大脑中动脉B、大脑
- 男,18岁, 角膜有K-F环,结合所提供
- 女,6岁, 头痛、呕吐1个月,行MRI检
- 大脑半球纵裂前2/3至侧脑室外侧壁之间的
- 有关脑实质动静脉畸形的描述,正确的是A、
- 蛛网膜下腔出血首选的检查方法应为A、MR
- 女,45岁, 垂体瘤术后7年,2个月前开
- 女,2岁, 癫痫1年。CT示:双侧侧脑室
- 关于胆脂瘤的CT表现,哪一项是错误的A、
- 星形细胞瘤据其组成的细胞类型可分四型,不
- 平片上,蝶鞍增大和(或)破坏表现见于下述
- 男,42岁, 头痛2年,加重1个月, M
- 囊尾蚴寄生人体的部位按顺序排列为以下哪项
- 肾上腺脑白质营养不良的特点是A、病变由后
- 以下有关营养不良性脑病病理的叙述,不正确
- 双侧大脑半球最大的连接结构是 (
- “脑膜瘤”下列CT征象,哪种最少见
- 1、根据患者MRI平扫和增强的表现,其可
- 以下一般不是颅脑MRI检查的适应证的是(