试题详情
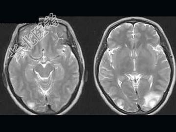
- 单项选择题女,52岁, 头晕2周,MRI检查如图, 最可能的诊断为 ( )

A、多发结核球
B、胶质瘤
C、囊性星形细胞瘤
D、脑内多发转移瘤
E、囊性淋巴瘤
关注下方微信公众号,搜题查看答案

热门试题
- 下列组合中,无关的是A、蝶鞍一垂体B、颅
- 下列诊断颅底骨折的依据中最确切的是A、皮
- 女,38岁, 头痛、闭经,MRI检查如图
- 男,16岁,视力下降4个月,双目失明10
- 交通性与非交通性脊髓空洞主要区别是
- 男,26岁, 头痛、烦躁、意识障碍伴肢体
- “结核性脑膜炎”CT征象,下列描述哪项错
- 脑(肝)豆状核变性,脑的铜沉积并发胶质增
- 脑疝种类较多,海马回向鞍上池或幕下移位者
- 下列“脑内动静脉畸形”诊断要点,哪项不对
- 一端与颅底分离的不稳定骨折又称为 (
- 癫痫的主要发病机制是( )A、循环血
- 患者男性,56岁, 车祸外伤后意识障碍2
- 早期脑梗死的脑血管造影的主要征象为
- 髓鞘形成不良病不包括 ( )A、
- 以下属于颅脑MRI检查的适应证的是(
- 下列不经过海绵窦内的脑神经为A、动眼神经
- 关于原发脑肿瘤的描述,错误的是 (
- 头颅MRI检查出现短T1、长T2的疾病有
- 少枝胶质细胞瘤的特征性CT表现是 (