试题详情
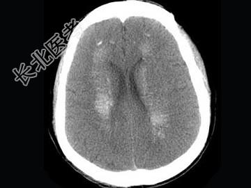
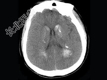
- 单项选择题男,52岁, 无明显不适,CT检查, 最可能的诊断为 ( )

A、脑血管畸形
B、结节性硬化
C、甲状旁腺功能低下
D、脑颜面血管瘤病
E、转移瘤
关注下方微信公众号,搜题查看答案

热门试题
- Dandy-Walker综合征包括
- 男,32岁, 头痛、抽搐3年余,MRI检
- MRI在头颅蝶鞍层面能显示第几对脑神经A
- 男,34岁, 3个月前行左额叶脑肿瘤切除
- MRI检查脑血肿出现“靶征”是A、一周内
- 1、可能的诊断是2、关于少枝胶质细胞瘤,
- 有关脑实质动静脉畸形的描述,正确的是A、
- 颅面血管瘤主要临床症状或CT特点A、面部
- 关于胆脂瘤的CT表现,哪一项是错误的A、
- 关于多形性胶质母细胞瘤的CT表现,下列哪
- 外伤性CCF是指 ( )A、颈
- 关于颅咽管瘤的描述,哪项不正确 (
- 增强CT扫描脑底动脉环强化显示为 (
- 女,56岁。食管癌术后9个月, 头痛伴恶
- 梭形动脉瘤的首要形成原因是A、先天发育异
- 滑车神经的功能和解剖特征为 (
- 颅咽管瘤呈囊性时,需与下列哪种疾病相鉴别
- 女,75岁, 突发左侧肢体无力,嘴角歪斜
- 颅底位可显示A、圆孔B、卵圆孔C、破裂孔
- TORCH综合征包括下述哪些疾病 (